Die Ellenbogendysplasie (ED) ist ein chronisch verlaufender Krankheitskomplex des Ellenbogengelenks schnellwüchsiger Hunderassen. Die ED stellt eine vererbte Entwicklungsstörung des wachsenden Skeletts dar. Hohes Körpermassewachstum und Fütterungsfehler sind weitere begünstigende Faktoren. Die ED beginnt in der späten Wachstumsphase bei vier bis acht Monate alten Jungtieren mit einer schmerzhaften Veränderung des Gelenks und der Gelenkbildenden Knochenteile mit Lahmheit. Der Bewegungsumfang des Ellenbogengelenks ist eingeschränkt. Frühzeichen sind Steifigkeit am Morgen oder nach Ruhepausen. Die Krankheit schreitet lebenslang fort und ist nicht heilbar, eine weitgehende Schmerzfreiheit kann aber in vielen Fällen erreicht werden.

Vorkommen und Ursachen

Eine Ellenbogendysplasie kann bei allen großwüchsigen Hunderassen auftreten. Am häufigsten betroffen sind Chow Chow, Rottweiler, Berner Sennenhund, Großer Schweizer Sennenhund, Neufundländer, Labrador Retriever, Deutscher Schäferhund und Bordeaux-Dogge. Die Häufigkeit des Auftretens beträgt bei einigen Rassen über 40 %.

Die ED wird polygenetisch vererbt. Der genaue Erbgang und die beteiligten Gene sind bislang nicht bekannt, so dass kein Gentest für die Erkrankung existiert. Der Nachweis kann daher bislang nur über die tierärztliche Beurteilung des Einzeltieres erfolgen, einige Hundezuchtverbände fordern eine Röntgenuntersuchung für Zuchttiere. Der Grad der Vererbbarkeit ist für Rüden größer als für Hündinnen und wird je nach Rasse und Population mit Werten zwischen 0,1 und 0,7 angegeben.

Klinische Symptome

Die erkrankten Tiere werden durch Lahmheiten im Bereich der Vordergliedmaße auffällig. Es besteht hierbei eine Mischform aus Hangbein- und Stützbeinlahmheit, häufig kommt es zu einer Wegführung des Unterarmes und der Pfote von der normalen Achse der Gliedmaße sowie einem Heranziehen des Ellenbogens an den Körper, wobei die Gliedmaße eingedreht wird. Bei der klinischen Untersuchung kann häufig eine vermehrte Füllung der Gelenkkapsel festgestellt werden, das Gelenk ist meist schmerzhaft und teilweise können Knirschgeräusche ausgelöst werden.

Typische Manifestationen

  • Stufenbildung zwischen Elle und Speiche
  • Isolierter Processus anconaeus
  • Fragmentierter Processus coronoideus medialis
  • OCD des medialen Condylus
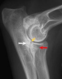
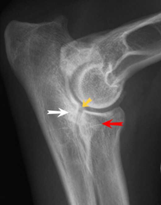
Eine Ellenbogendysplasie entsteht, wenn die gelenkbildenden Knochenteile Oberarmknochen, Elle und Speiche nicht exakt genug zueinander passen. Die ungenaue Passform oder Inkongruenz führt zu chronischen Umbauvorgängen am Ellenbogengelenk und den gelenkbildenden Knochenteilen, die zu einer Sklerosierung der Knochen und zur Ausbildung von Knochenauswüchsen führen. Bei geringer Inkongruenz der Gelenkflächen ist die Osteoarthrose das einzige Anzeichen einer Ellbogendysplasie, darüber hinaus können weitere Veränderungen auftreten:
Fragmentierung des Processus coronoideus medialis (FCP, Ablösung des innen liegenden Kronfortsatzes der Elle) Osteochondrosis dissecans am Condylus medialis humeri (OCD, Knorpelablösung am innen liegenden Rollhöcker des Oberarmknochens) Isolierung des Processus anconaeus (IPA, Ablösung des Ellenbogenfortsatzes der Elle)

Ellenbogendysplasie HundEin gleichzeitiges Auftreten mehrerer dieser Komplikationen ist häufig.

Gelegentlich werden im deutschsprachigen Raum auch weitere Entwicklungsstörungen wie die ausbleibende Fusion der drei ellenbogenseitigen Verknöcherungskerne des Oberarmknochens und die angeborene Ellenbogenluxation oder Subluxation bei kleinen Hunderassen in den Ellenbogendysplasie-Komplex eingeordnet.
Letztere begünstigen ebenfalls das Auftreten eines IPA oder FCP, werden aber von der International Elbow working Group nicht zum ED-Komplex gezählt.

Klassifizierung

Nach der International Elbow working Group wird die ED je nach Ausmaß der Erkrankung in drei klinische Stadien eingeteilt. Hierbei wird lediglich der Schweregrad der Arthrose über das Ausmaß der Knochenzubildungen (Osteophyten) beurteilt. Das Auftreten spezifischer Läsionen (FCP, IPA, OCD) wird lediglich vermerkt, nicht jedoch für die Klassifizierung verwendet.

ED-Schweregrade

Grad 0: Normal keine Osteophyten oder Sklerose
Grad I: Milde Arthrose Osteophyten kleiner als 2 mm oder Sklerose der Gelenkfläche der Elle
Grad II: Moderate Arthrose Osteophyten zwischen 2 und 5 mm groß
Grad III: Schwere Arthrose Osteophyten größer als 5 mm

Seit 1. Jänner 2006 ist der ED-Befund im SV verpflichtend eingeführt worden!